科室概况
联系我们

重庆市綦江区中医院特检科是集心电图、超声检查为一体的综合检查诊断科室。
【一流设备 】
科室拥有一批先进的彩色多普勒超声诊断仪及心电设备,其中包括飞利浦Q7,GEE6,东芝SSA660,24小时动态心电图等。
【精湛技术】
科室开展了腹部、泌尿系、妇科、产科、心脏、四肢大血管、颈部血管,小器官及浅表包块、胆囊功能检查、超声造影,24小时动态心电图、药物试验心电图等检查。率先于94年在綦江地区开展超声心动图,积累了丰富的经验,能为临床医生提供准确的诊断依据。并开展胎儿产前超声检查,准确率高。科室专业技术强,临床经验丰富,为临床科室提供准确可靠的诊断依据,专业技术水平在同等级医院中名列前茅。
【中医特色医疗】
我科拥有国际一流彩色多普勒超声诊断仪飞利浦EPIQ7,GEE6等,具有超声造影、实时弹性成像、胎儿四维成像等前沿功能,创新设计的nSIGHT平台架构、颠覆传统的xMATRIX技术应用、持续不断的解剖智能超声应用等,使分辨率更高,图像更清晰,诊断更准确,开启旗舰超声崭新纪元。

科室电话:通惠总院:
北街院区: 023-48659022
九龙院区: 023-48617803
科室地址:綦江东部新城王家湾通惠总院门诊部2楼
綦江区古南街道交通路26号北街院区住院部1楼
綦江开发区二级站背后九龙院区住院部2楼
【特检科特色优势技术介绍】
●产前超声检查
欢迎来我院做产前超声检查:胎儿系统彩超(Ⅲ级)、胎儿四维彩超(Ⅱ级),我们将竭尽所能为您和您腹中的宝宝做认真仔细的检查。产前超声检查是对胎儿及妊娠附属物结构的一种常用、安全及无创的方法,依据对超声动态图像的综合分析,结合相关临床资料,对胎儿的生长发育情况作出评估,并遵循卫生部关于产前超声诊断规范要求,按级筛查卫生部规定的致死性畸形。

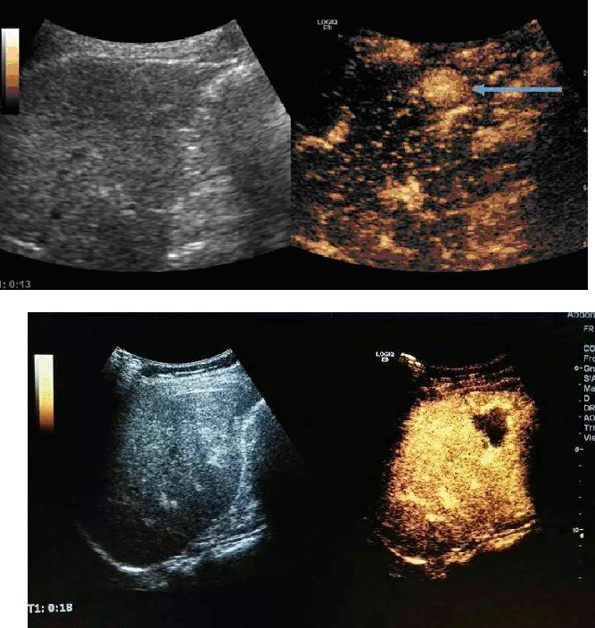
●超声造影
超声造影(Ultrasonic Contrast)又称声学造影(Acoustic Contrast),是利用造影剂气体微泡产生的强烈散射,达到有效增强肝、肾等实质器官内的微细血流或心血管内血流显示的目的,反映正常组织和病变组织在弥散或微循环水平的血流灌注情况,借此可以更加准确的判断病变的性质,提高诊断的分辨力、敏感性和特异性的技术。超声造影剂是血管血池性造影剂,不会进入组织间隙,不能通过血脑屏障,而且造影剂的惰性气体经呼吸排除体外,没有心肝肾毒性,不含碘剂,过敏反应相较于其他影像学造影剂低得多,具有高安全性、可重复性以及低副作用等优点。目前超声造影广泛应用于临床肝脏、肾脏、甲状腺、乳腺等脏器检查,在肿瘤的检出和定性诊断中有着重要意义,尤其是在肝脏肿瘤(检测1cm以下的亚厘米病灶方面)诊断方面,声学造影具有明显优势。
